Warthin tumor ct radiology

Hem / Hälsa & Välmående / Warthin tumor ct radiology

Laryngorhinootologie, 85(11), 802–806.

  • Warthin's tumor | Radiology Reference Article | Radiopaedia.org
  • Yuan, W. H., et al. The tumor is well marginated and has both solid, vascularized components and a cystic component .





  • Warthin's Tumor: A Comprehensive Review

    Introduction to Warthin's Tumor

    Warthin's tumor, also known as adenolymphoma, is a common benign salivary gland neoplasm.

    Left parotid gland is normal.

    Intra-operative findings:

    • Mass at tail of parotid
    • Firm, well-defined and well encapsulated.
    • Measuring about 3×2 cm
    • Enucleation of mass done

    HPE findings:

    • Macroscopy: specimen labelled as right parotid mass, consist of a piece of tan whitish tissue measuring 35x25x20 mm.

      The follow-up typically involves clinical examination and imaging studies.

      The table below summarizes the key aspects of Warthin's tumor:

      AspectDescription
      DefinitionBenign salivary gland neoplasm
      EpidemiologyMore common in males, peak incidence in 6th-7th decade
      Risk FactorsAssociated with smoking
      Clinical PresentationPainless, slow-growing parotid mass
      Radiological FeaturesCharacteristic cystic areas on CT and MRI, hypoechoic on ultrasound
      DiagnosisImaging and histopathology
      ManagementConservative or surgical
      PrognosisExcellent, low risk of malignant transformation

      Conclusion

      Warthin's tumor is a common benign salivary gland neoplasm with distinct radiological and histopathological features.

      Oral radiologists play a vital role in identifying the diagnosis by identifying the characteristic imaging features of Warthin's tumor and guiding clinical decision-making.

      References

      1. Mistry, N., & Tahir, M. (2015). The stroma is infiltrated by dense mature lymphocytes forming follicles with some germinal centres. lower lip, buccal mucosa) 11,12.

        They are often multicentric (20%) and are usually small (1-4 cm).

        larynx, maxillary antrum, oral cavity (e.g. Minami M, Tanioka H, Oyama K et-al. Not painful

      2. No constitutional symptoms
      3. On examination; swelling (2 x 3 cm) at right upper lateral neck which was firm, mobile and non pulsatile.

    Ultrasound findings:

    • A well-defined hypo echoic lesion is seen within right parotid gland
    • The lesion measures about 1.8 cm x 2.5 cm x 3.4 cm (AP x W x CC).
    • There is no internal vascularity and no intralesional calcifications.
    • Otherwise, the rest of right parotid gland is homogenous in echo texture.
    • Right common carotid, external carotid artery and internal carotid arteries and right internal jugular vein are patent.
    • The left parotid gland is normal.

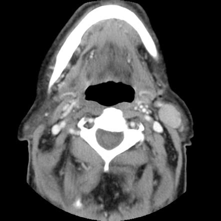
    CT scan findings:

    • The right parotid gland is bulky compared to contralateral site.
    • An ill-defined hyperdense (HU 36- 42) lesion with smooth margin (yellow arrows) is seen at the inferior portion of right parotid gland, measures about 2.0 cm x 2.1 cm x 2.9 cm (AP x W x CC).
    • In post contrast images, the lesion is homogenously enhanced almost similar to the rest of the parotid tissue.
    • No calcification within the lesion.

      The tendency to undergo cystic change is greater than any other salivary gland tumor4,5.

      Ultrasound

      Most tumors tend to be ovoid, with well-defined margins and multiple irregular, small, sponge-like anechoic areas 10. Journal of Cancer Research.

      warthin tumor ct radiology

      It is the second most common benign tumor of the parotid gland after pleomorphic adenoma. Medscape.

    • Uguz, M. Z., et al. 1929:11;3. Warthin AS. Papillary Cystadenoma Lymphomatosum. Warthin tumor of the parotid gland: diagnostic value of MR imaging with histopathologic correlation. They typically occur in older age (6th decade) and are twice as common in men (2.2:1) 11.

      Risk factors

      Patients typically present with painless parotid swelling.

      Location

      They tend to favor the parotid tail region at the level of the mandibular angle.

      The tumor is often bilateral and can be multifocal.

      Importance in Oral Radiology

      Warthin's tumor has characteristic radiological features that aid in its diagnosis. No haemorrhage or necrosis seen.

    • Microscopy: section shows a well-encapsulated tumour composed of papillary projections lined by double epithelial cells displaying granular eosinophilic cytoplasm (oncocytes).

      (2014). 5-20% of cases appear to be multicentric.

    • It is the 2nd most common benign parotid tumour after pleomorphic adenoma
    • It typically occur in the elderly and twice as common in men
    • It may be bilateral or multifocal (20% of cases) and the most common neoplastic cause of multiple solid parotid masses
    • Association: smoking and irradiation
    • Malignancy developing in a Warthin’s tumor is extremely rare (<1%).
    • In Ultrasound it seen as ovoid, well-defined margin and multiple irregular, small, sponge-like anechoic areas.